CHESTLearning & EventsCHEST SEEK Learning Resources
Digital devices showing screens of the CHEST Curriculum Pathways product

CHEST SEEK® Learning Resources

Stay current. Prepare to succeed.

Prepare for your board exams or Longitudinal Knowledge Assessment (LKA), earn CME/MOC/CE, and stay up to date throughout your career. The CHEST SEEK® (Self-Education and Evaluation of Knowledge) learning suite has been a trusted educational resource for pulmonary, critical care, and sleep medicine clinicians for more than 30 years.

PURCHASE OPTIONSACCESS YOUR SUBSCRIPTION

Digital devices showing screens of the CHEST Curriculum Pathways product

NEW: SEEK Critical Care for APPs | Nurse practitioners and physician assistants can test their diagnosis and treatment knowledge with a curated collection of 100 SEEK questions covering common clinical scenarios. LEARN MORE »

Advertisement


Mobile app gif

Prep for your boards with SEEK

Available digitally and in print, CHEST SEEK study tools feature case-based questions based on the American Board of Internal Medicine (ABIM) exam and LKA blueprints, covering topics like cardiovascular disorders, neoplasia, obstructive lung disease, and more. With SEEK learning resources, you can:

  • Learn with detailed rationales and journal article references
  • Take timed mock exams to practice for your boards
  • Review year-round with mobile app and desktop access
  • Save your notes and sync your progress across your devices

SEEK Library on a tablet

SEEK Library on a tablet

CHEST SEEK® Library Plus

Our premier subscription gives you access to 1,250+ pulmonary, pediatric pulmonary, critical care, and sleep medicine questions and the opportunity to claim 300+ CME/MOC/CE, PLUS the following:

  • NEW! Concise summary key points in 150 pulmonary medicine questions and 150 critical care medicine questions
  • Board Review SEEK Sessions: Three video discussions of SEEK questions
  • SEEK Peer Review Discussions: Six behind-the-scenes videos
  • 30 Years of SEEK: 30 favorite questions from SEEK’s 30-year history
  • SEEK Study Pack: 75 perennially popular questions with a print export option
  • SEEK Flashcards: 30 topically diverse recall questions
  • SEEK Supplemental Commentary: Three video responses from question authors

$599 Member trainees and APPs | Member physicians $669 | Nonmembers $899

ADD SEEK LIBRARY PLUS TO CART

CHEST SEEK® Library Plus

Our premier subscription gives you access to 1,250+ pulmonary, pediatric pulmonary, critical care, and sleep medicine questions and the opportunity to claim 300+ CME/MOC/CE, PLUS the following:

  • NEW Concise summary key points in 150 pulmonary medicine questions and 150 critical care medicine questions
  • Board Review SEEK Sessions: Four video discussions of SEEK questions
  • SEEK Peer Review Discussions: 12 behind-the-scenes videos
  • 30 Years of SEEK: 30 favorite questions from SEEK’s 30-year history
  • SEEK Study Pack: 75 perennially popular questions with a print export option
  • SEEK Flashcards: 30 topically diverse recall questions
  • SEEK Supplemental Commentary: Three video responses from question authors

$599 Member fellows/nonphysicians | Member physicians $669 | Nonmembers $899

ADD SEEK LIBRARY PLUS TO CART

BUNDLE & SAVE | Deepen your clinical knowledge and supplement your exam study when purchasing SEEK Library Plus with CHEST Curriculum Pathways. Save up to $99 on collections of asthma, interstitial lung disease, lung cancer, and pulmonary hypertension resources. LEARN MORE ABOUT PATHWAYS »

Other SEEK purchase options

CHEST SEEK® Library

  • NEW! Concise summary key points in 150 pulmonary medicine questions and 150 critical care medicine questions
  • 1,250+ pulmonary, pediatric pulmonary, critical care, and sleep medicine questions
  • 300+ CME/MOC/CE

Individual SEEK Collections

  • Pulmonary Medicine Collection:
    450+ questions and 110+ CME/MOC/CE
    NEW! Summary key points in 150 questions
  • Critical Care Medicine Collection:
    490+ questions and 120+ CME/MOC/CE
    NEW! Summary key points in 150 questions
  • Sleep Medicine Collection:
    280+ questions and 70+ CME/MOC/CE

CHEST SEEK Books

  • Our popular critical care, pulmonary, pediatric pulmonary, and sleep medicine questions in print
  • Amount and availability of CME/MOC/CE vary based on publication date

The number of questions and CME credits/MOC points/CE hours incrementally evolve in the library on a regular basis.

BECOME A MEMBER | Enjoy the benefits of CHEST membership, including a significant discount on SEEK products. JOIN NOW »

Richard H. Savel, MD, MBA

“I just passed my 10-year critical care board exam. I’m so glad I used the CHEST SEEK questions on my iPad. They really helped build my confidence, and the explanations expanded my knowledge. These tests are meant to be hard, but I passed.”

Richard H. Savel, MD, MBA

See why SEEK is your best learning resource

Try before you buy. Answer a sample question.

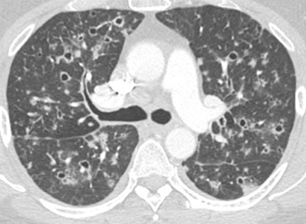
Figure 57-A

Figure 1: View larger »

Figure 57-B

Figure 2: View larger »

Frequently asked questions about CHEST SEEK

What kind of subscription entitlement is offered?

On what devices do I have access to the CHEST SEEK Library?

Can I get CME credits/MOC points/CE hours for subscribing to and using the CHEST SEEK Library?

Am I eligible to receive American Board of Pediatrics MOC points?

What happens to the content when my CHEST SEEK Library subscription ends?

How long are the videos in CHEST SEEK Library Plus?

Can I access content in the CHEST SEEK Library app offline?

Will my answers and notes sync between my devices and be available offline?